Đối với những người không may bị mất răng thì cấy ghép implant là lựa chọn tốt nhất, không những an toàn mà còn mang lại cho bạn một hàm ră...
Vì sao nên chọn niềng răng mắc cài sứ
Trường hợp nào cần niềng răng? Niềng răng mắc cài 3M UGSL được chỉ định cho tất cả các trường hợp điều chỉnh trật tự răng như sau: Răng ...
Những bí quyết làm răng đẹp bạn nên biết
Những bí quyết làm răng đẹp đã có ai biết đến hay chưa? Cùng tham khảo bài viết dưới đây để tìm được biện pháp khắc phục phù hợp nhất hiện ...
Bảo vệ răng miệng cho người già bằng chế độ ăn uống hợp lý
Khi tuổi chúng ta càng lớn thì sức đề kháng của chúng ta cũng trở nên yếu đi. Chính vì vậy mà nhiều người thường có cảm giác răng bị lung l...
Tổng hợp những phương pháp niềng răng 1 hàm
Thực hiện niềng răng 1 hàm mang tính thẩm mỹ cao được nhiều người lựa chọn. Cùng tìm hiểu những thông tin liên quan ở bài viết dưới đây. t...
Nha khoa răng sứ
Nha khoa răng sứ là một trong những phương pháp mới nhằm mang lại cho mọi người hàm răng đều và răng chắc hơn như ý muốn. Phương pháp này h...
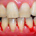
Chảy máu chân răng nên uống thuốc gì?
Chảy máu chân răng nên uống thuốc gì thưa bác sĩ? Tôi dang bị chảy máu chân răng, không chỉ ê buốt khó chịu mà còn ảnh hưởng đến cuộc sống ...
Có tốt không khi cấy ghép Implant?
Cấy ghép răng implant là một bước tiến mới mẻ trong ngành nghề nha khoa, nhằm để khắc phục hầu hết các nhược điểm mà hàm giả tháo lắp và cầ...
Niềng răng không phải nhổ là gì?
Niềng răng không nhổ răng có hiệu quả không, khi nào được áp dụng, liệu niềng răng có phải nhổ răng trong trường hợp của mình vẫn là những ...
Răng khôn bị lung lay do đâu?
Răng lung lay là tình huống khá phổ biến và trong mọi trường hợp nếu bảo tồn được bác sỹ luôn khuyến khích bảo tồn răng. Nhưng với răng khô...
Những lưu ý sau khi thực hiện niềng răng
Một số lưu ý sau khi thực hiện niềng răng - Thực hiện niềng răng nhằm điều chỉnh răng về những vị trí như ý muốn. Phương pháp này hiện nay...
Quy trình phẫu thuật chỉnh nha an toàn tại Nha khoa Đăng Lưu
Thực hiện phẫu thuật chỉnh nha được thực hiện ra sao đã có ai biết hay chưa? Cùng tham khảo thông tin bài viết dưới đây để có được câu trả ...
Thực hiện bọc răng sứ Titan giá bao nhiêu?
Răng sứ Titan là loại răng sứ được cấu tạo từ chất liệu Titan ở bên trong và phủ lớp sứ ở bên ngoài. Chất liệu Titan có những ưu điểm như ...
Nhổ răng khôn có thể bị chảy máu
Nếu răng khôn mọc đúng vị trí thì sẽ không ảnh hưởng đến sức khỏe của mọi người nhưng nếu răng khôn mọc lệch với cung hàm, hoặc mọc ngầm và...
Răng khấp khểnh niềng răng mất bao lâu?
Ngày nay, niềng răng đã có nhiều hình thức để bạn lựa chọn. Niềng răng mắc cà là một phương pháp nha khoa dùng khí cụ mắc cài gắn vào tron...














